ڻ ô߰ ġ ȿ - ȿ
ô߰ ڻ 3 ԿġḦ ȯڵ
㸮 ٸ , ְ Ǿϴ. ̴ ô߰
̿ ū ̰ ϴ. Ӹ ƴ϶ ȯ ټ 3 Ŀ 㸮 ٸ
, ְ ȣǴ ѹġῡ Ÿ½ϴ.
ô߰ vs ġ ȿ
Կ
3
* ó: The Spine Journal 2008, 8(6):968-974.
ġ
ġ
ô߰ VS ġ ȭ
Կ
3
ġ
ġ
- : 2015 1 2018 12 ô߰ ް ڻѹ溴 (·õ··ؿ) Կȯ ȯ 687
- : 3 Կ ȯ Կ , 3 㸮 ô, ٸ, (ODI)
- : ڻô߰
- SCI(E) м Journal of Clinical Medicine 2020 12ȣ
ô߰ ѹġ - 3 Ŀ ȯ 90%
ġ 3 ȣ
ġ 3
ô߰ ġ Źٷ2ħ, ôȸ ȿ
ڻ ô߰ ġ Źٷ2ħ , ô ȸ, ɷ ɷ ȸ ȿ
б Ǿϴ. ش ڶϴ
SCI(E) м MEDIATORS OF INFLAMMATION(IF 3.549) ҰǾ
Źٷ2ħ ġȿ ҽϴ.
ϴ
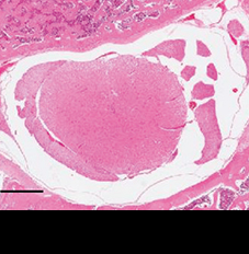
ô߰ 㿡 ڻ Źٷ2 ħ ϴ (iNOS, COX-2) ߽ϴ.
ɷ ȸ
ô߰ ¹ 㺸 ݰ ϴ.
Źٷ2 7° 鼭 ɷ ȸƽϴ.
ɷ ȸ
ô߰ Ʈ µ νİ ⸦ ϴ ӵ ϴ.
Źٷ2 ɷ ȸǾ 4° ⸦ ϴ ӵ ϴ.
ô߰ ô ȸ
ô߰ ô߰ ô ϴ.
Źٷ2 ô߰ ô ° ȸƽϴ.
-
-
ô߰
-
Źٷ2 ħ
- : ô߰ Ǹ Ʃ긦 ̽ ô߰ 14ϰ 1ȸ Źٷ2 ħ 汸 Ǵ ħ
- : ڻô߰, б õп
- θ : SCI(E) м MEDIATORS OF INFLAMMATION(IF 3.549) 2019 4ȣ
- : Effects of SHINBARO2 on Rat Models of Lumbar Spinal Stenosis










